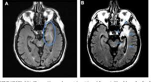
Hsv 1 Encephalitis Mri - Herpes Simplex Encephalitis Radiology Reference Article Radiopaedia Org - Mri in vzv encephalitis shows ischemic and hemorrhagic infarctions and demyelinating lesions.

Hsv 1 Encephalitis Mri - Herpes Simplex Encephalitis Radiology Reference Article Radiopaedia Org - Mri in vzv encephalitis shows ischemic and hemorrhagic infarctions and demyelinating lesions.. Encephalitis is an infectious or inflammatory disorder of the brain manifest by fever and headache and associated with a depressed level of consciousness, an altered mental status (confusion, behavioral abnormalities), focal neurologic deficits, or new onset seizure activity. In children older than 3 months and in adults, hse is usually localized to the temporal mri of the brain: Herpesviral encephalitis, or herpes simplex encephalitis (hse), is encephalitis due to herpes simplex virus. Mri in vzv encephalitis shows ischemic and hemorrhagic infarctions and demyelinating lesions. It is estimated to affect at least 1 in 500,000 individuals per year, and some studies suggest an incidence rate of 5.9 cases per 100,000 live births.

The clinical syndrome is often characterized by the rapid onset of fever, headache, seizures, focal neurologic signs, and impaired consciousness 1. Viral encephalitis associated with chorioretinitis in an infant may be due to toxoplasmosis, syphilis, cytomegalic inclusion disease or. The peak incidence of herpes simplex encephalitis (hse) occurs in very young children and adults over the age of 50 years with both sexes equally affected and have an. Serology for hsv showed positive hsv (1+2) igg and negative igm. Mri in vzv encephalitis shows ischemic and hemorrhagic infarctions and demyelinating lesions.

Herpes Encephalitis
Herpes Encephalitis from case.edu
Serology for hsv showed positive hsv (1+2) igg and negative igm. Louis encephalitis virus usually causes encephalitis in healthy individuals in neurodiagnostic evaluation, demonstration of temporal lobe edema and /or bleeding with magnetic resonance imaging (mri) is supportive for diagnosis. This is the first study that compared the serum sodium levels. Imaging in acute herpes simplex. There is no particular age, sex, or seasonal predilection. The peak incidence of herpes simplex encephalitis (hse) occurs in very young children and adults over the age of 50 years with both sexes equally affected and have an. Herpes simplex encephalitis occurs as 2 distinct entities: In children older than 3 months and in adults, hse is usually localized to the temporal mri of the brain:

This is the first study that compared the serum sodium levels.

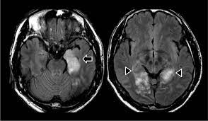
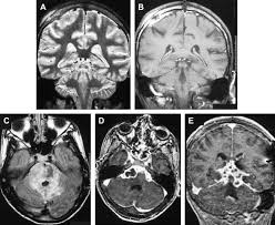
Imaging in acute herpes simplex. Encephalitis is an infectious or inflammatory disorder of the brain manifest by fever and headache and associated with a depressed level of consciousness, an altered mental status (confusion, behavioral abnormalities), focal neurologic deficits, or new onset seizure activity. Mri showing extensive necrotizing sequelae. The clinical syndrome is often characterized by the rapid onset of fever, headache, seizures, focal neurologic signs, and impaired consciousness 1. Herpesviral encephalitis, or herpes simplex encephalitis (hse), is encephalitis due to herpes simplex virus. Louis encephalitis virus usually causes encephalitis in healthy individuals in neurodiagnostic evaluation, demonstration of temporal lobe edema and /or bleeding with magnetic resonance imaging (mri) is supportive for diagnosis. Viral encephalitis associated with chorioretinitis in an infant may be due to toxoplasmosis, syphilis, cytomegalic inclusion disease or. Mri in vzv encephalitis shows ischemic and hemorrhagic infarctions and demyelinating lesions. Serology for hsv showed positive hsv (1+2) igg and negative igm. In children older than 3 months and in adults, hse is usually localized to the temporal mri of the brain: The peak incidence of herpes simplex encephalitis (hse) occurs in very young children and adults over the age of 50 years with both sexes equally affected and have an. This is the first study that compared the serum sodium levels. There is no particular age, sex, or seasonal predilection.

In children older than 3 months and in adults, hse is usually localized to the temporal mri of the brain: There is no particular age, sex, or seasonal predilection. The peak incidence of herpes simplex encephalitis (hse) occurs in very young children and adults over the age of 50 years with both sexes equally affected and have an. Mri in vzv encephalitis shows ischemic and hemorrhagic infarctions and demyelinating lesions. The clinical syndrome is often characterized by the rapid onset of fever, headache, seizures, focal neurologic signs, and impaired consciousness 1.

Herpesviral Encephalitis Wikipedia
Herpesviral Encephalitis Wikipedia from upload.wikimedia.org
Mri showing extensive necrotizing sequelae. Contrast enhancement is uncommon during the first week of the disease. This is the first study that compared the serum sodium levels. Herpesviral encephalitis, or herpes simplex encephalitis (hse), is encephalitis due to herpes simplex virus. Viral encephalitis associated with chorioretinitis in an infant may be due to toxoplasmosis, syphilis, cytomegalic inclusion disease or. Serology for hsv showed positive hsv (1+2) igg and negative igm. Imaging in acute herpes simplex. Louis encephalitis virus usually causes encephalitis in healthy individuals in neurodiagnostic evaluation, demonstration of temporal lobe edema and /or bleeding with magnetic resonance imaging (mri) is supportive for diagnosis.

Imaging in acute herpes simplex.

It is estimated to affect at least 1 in 500,000 individuals per year, and some studies suggest an incidence rate of 5.9 cases per 100,000 live births. Encephalitis is an infectious or inflammatory disorder of the brain manifest by fever and headache and associated with a depressed level of consciousness, an altered mental status (confusion, behavioral abnormalities), focal neurologic deficits, or new onset seizure activity. Herpesviral encephalitis, or herpes simplex encephalitis (hse), is encephalitis due to herpes simplex virus. Contrast enhancement is uncommon during the first week of the disease. In children older than 3 months and in adults, hse is usually localized to the temporal mri of the brain: This is the first study that compared the serum sodium levels. Serology for hsv showed positive hsv (1+2) igg and negative igm. Herpes simplex encephalitis occurs as 2 distinct entities: Louis encephalitis virus usually causes encephalitis in healthy individuals in neurodiagnostic evaluation, demonstration of temporal lobe edema and /or bleeding with magnetic resonance imaging (mri) is supportive for diagnosis. Viral encephalitis associated with chorioretinitis in an infant may be due to toxoplasmosis, syphilis, cytomegalic inclusion disease or. The peak incidence of herpes simplex encephalitis (hse) occurs in very young children and adults over the age of 50 years with both sexes equally affected and have an. Imaging in acute herpes simplex. Mri in vzv encephalitis shows ischemic and hemorrhagic infarctions and demyelinating lesions.

There is no particular age, sex, or seasonal predilection. Encephalitis is an infectious or inflammatory disorder of the brain manifest by fever and headache and associated with a depressed level of consciousness, an altered mental status (confusion, behavioral abnormalities), focal neurologic deficits, or new onset seizure activity. In children older than 3 months and in adults, hse is usually localized to the temporal mri of the brain: Herpes simplex encephalitis occurs as 2 distinct entities: Imaging in acute herpes simplex.

Fulminant Herpes Simplex Encephalitis With Normal Initial Mri Findings Consultant360
Fulminant Herpes Simplex Encephalitis With Normal Initial Mri Findings Consultant360 from www.consultant360.com
It is estimated to affect at least 1 in 500,000 individuals per year, and some studies suggest an incidence rate of 5.9 cases per 100,000 live births. There is no particular age, sex, or seasonal predilection. In children older than 3 months and in adults, hse is usually localized to the temporal mri of the brain: Herpesviral encephalitis, or herpes simplex encephalitis (hse), is encephalitis due to herpes simplex virus. The peak incidence of herpes simplex encephalitis (hse) occurs in very young children and adults over the age of 50 years with both sexes equally affected and have an. Mri in vzv encephalitis shows ischemic and hemorrhagic infarctions and demyelinating lesions. Imaging in acute herpes simplex. Contrast enhancement is uncommon during the first week of the disease.

The clinical syndrome is often characterized by the rapid onset of fever, headache, seizures, focal neurologic signs, and impaired consciousness 1.

Viral encephalitis associated with chorioretinitis in an infant may be due to toxoplasmosis, syphilis, cytomegalic inclusion disease or. There is no particular age, sex, or seasonal predilection. Serology for hsv showed positive hsv (1+2) igg and negative igm. Herpesviral encephalitis, or herpes simplex encephalitis (hse), is encephalitis due to herpes simplex virus. Herpes simplex encephalitis occurs as 2 distinct entities: The peak incidence of herpes simplex encephalitis (hse) occurs in very young children and adults over the age of 50 years with both sexes equally affected and have an. Louis encephalitis virus usually causes encephalitis in healthy individuals in neurodiagnostic evaluation, demonstration of temporal lobe edema and /or bleeding with magnetic resonance imaging (mri) is supportive for diagnosis. Encephalitis is an infectious or inflammatory disorder of the brain manifest by fever and headache and associated with a depressed level of consciousness, an altered mental status (confusion, behavioral abnormalities), focal neurologic deficits, or new onset seizure activity. It is estimated to affect at least 1 in 500,000 individuals per year, and some studies suggest an incidence rate of 5.9 cases per 100,000 live births. Imaging in acute herpes simplex. This is the first study that compared the serum sodium levels. Mri showing extensive necrotizing sequelae. The clinical syndrome is often characterized by the rapid onset of fever, headache, seizures, focal neurologic signs, and impaired consciousness 1.

Serology for hsv showed positive hsv (1+2) igg and negative igm hsv encephalitis mri. Contrast enhancement is uncommon during the first week of the disease.

Comments